复阳疼十倍、高温羊水泡胎儿、咳血断肋骨…你必须知道这些
其实我们已经没有头绪了,很乱,所以每篇文章只能想到什么就写什么,想到哪里写到哪里,请大家多包涵,我们尽最大可能把一些现实情况提前告诉大家,因为大家都懂的,等到官媒公开报道了讨论了,这还来得及?
比如,我们是什么时候提醒大家这波有比较严重的肺炎的?是上周四22号,而官媒一直到今天27号才正式报道和讨论这个事情,我们不知道我们的文章能在这5天内提醒多少网友,我们的目的很简单,能救一个是一个,没有什么比生命更加重要的,其他的事情,去TM的吧
既然说到这个肺炎的事情,那么就先说很多人和我们说的白肺。
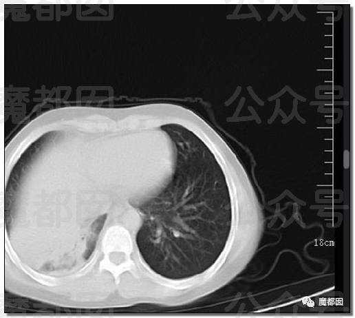
我们都晓得,正常情况下肺部是由肺泡组成的,肺泡里边是充满了空气的,进行CT或者是X线检查的时候,射线穿过肺泡的时候,影像的表现应该是黑色的区域,但是当肺泡里边出现炎症和感染,有渗出液和炎性细胞的时候,肺泡就被这些渗出液或者炎性细胞填充,这样射线就穿不透,在影像学上的表现就出现了白色的区域,这个白色区域反映出来的是渗出物的影像学的表现。
随着这些渗出液的吸收、炎症的消退,白肺的表现也会逐渐消退,也就是说肺部的影像学表现就会回到正常的黑色的区域。并不是只要肺部出现了炎症就都叫白肺,比较严重的肺炎的表现才会出现白肺,一般来讲肺部的炎症比较重,渗出比较多的时候,就是白色的影像区域面积达到了70%到80%的时候,才在临床上把它称为白肺。
白肺会有什么后果?本质上和淹死一个道理。肺被病毒(也可以是细菌等其他微生物)导致的果冻状的分泌物给占满了,肺的换气功能完全丧失。再浓的氧也进不去血里面。而吸痰,做过气管镜的都知道,靠气管镜到达不了那个终末端的地方。另外,没有特效药。
肺白之后,就容易纤维化,而纤维化后的肺在目前医学上无任何药物可逆转和治疗,除非进行肺移植,也就是换肺。重症的白肺患者,死亡率在40%以上,还是有一部分人是可以治愈的。但是要想让肺恢复到本来干干净净的状态,是比较难的,绝大部分患者会留下肺部纤维化的后遗症。
白肺是紧随肺炎产生的,这放在以前没有新冠的时候也有这种病例,并且死亡率在20%~36%之间,此次加上新冠的感染,死亡率高达50%。
因为感染了新冠后,人的免疫力会进一步下降,这个时候更是一些细菌病毒进入人体的「最佳时机」。
关于这个事情,官方回复了:
但是我们看完整个的发布会,觉得非常奇怪。
回答的两个问题,原始毒株+疫苗固然ok,但是这是重点吗?肯定不是啊,老百姓要知道的是什么?
1、现在的新冠到底会不会引发白肺?有多大几率?
2、现在的新冠已经造成了多少的白肺?有无人因为白肺而死亡?
可惜,发布会上对于如此重要的数据只字不提。
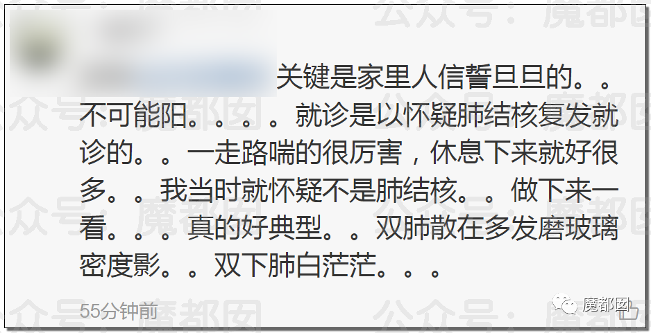
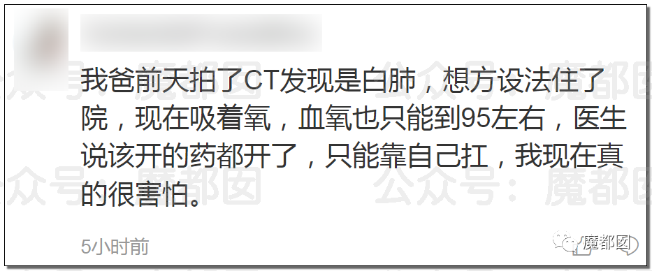
因为现在正规爆出来的白肺案例已经比较多了:
那这么判断自己可能得了肺炎?大概有嘴唇发紫,呼吸急促,突然喘不过气,稍微活动就呼吸困难,比如吃饭穿衣。胸口疼痛,无法躺下,不坐着就无法呼吸。
出现咳血、夜间咳嗽加重,咳大量黄脓痰,或者转阴后再次出现高热,呼吸困难、胸痛等原有症状明显加重,以及咳嗽超过2周时,建议前往医院就诊。别怀疑,是真的有很多人咳出血。这位著名游戏大V:
直接咳血:
大家都吓死了:
后续查了果然是肺部感染:
现场的环境也是……唉……无话可说……
谁能告诉我,这波里到底有多少老人最终没能挺过去?
网友们都非常愤怒:
我们到现在都没看到过各地或者官方报出这波里的实际死亡人数(包括超额死亡数),日本有统计,现在已经第八波,昨天还死了438个人。
顺带提下,日本好像在……
网友们也是非常愤怒:
其实现在日本日子并不好过,民众也很愤怒:
还有人自己咳嗽断肋骨的:
这玩意不仅仅是肺炎,还有心肌炎:
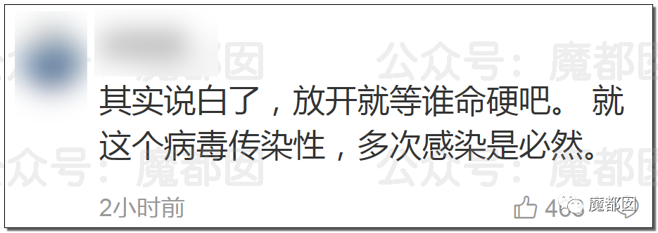
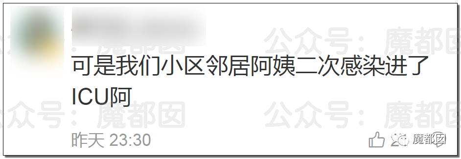
然后就是一个二次感染的问题,今天也是上了热搜:
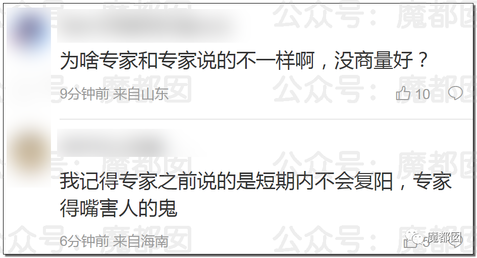
不过似乎网友们并不买账:
老粉应该都知道,我们这几年来不断的在强调,多次感染之后身体只会越来越差不会越来越好,很多人可能前几次连症状都没有,最后一次直接倒下。
很多群内都在讨论:
的确,很多媒体都在报道,不管是复阳还是二次感染,很多人的症状都加重了:
这是媒体的采访:
专家的意思是你还是没好透:
网友的反馈:
这个复阳目前好像还没具体的科学解释,我们感觉一个是不能过于劳累,还有就是外部环境冷暖要注意,有媒体报道一个小伙子出去吹了点风回来就复阳了:
小伙子的自述:
我们过去几天一直在写,新冠康复后不管是谁身体会垮掉很多,所以千万别逞强,保命要紧,大家可以按照“坐月子”的规格进行管理。
因为我们老百姓个人没有能力也没有设备进行测序,所以我们是完全无法判断到底是复阳还是二次感染,只能是专家说什么就是什么,但是关于二次感染,我们现在看到最快的有据可查的是7天,是的,仅需7天你就可以被二次感染,数据完整可靠。
这个7天二进宫的,感染的还只是BA.1和BA.2而已,根本无需XBB这类七阶高手出马。
这是各个国家和地方的重复感染率,最近是疯狂攀升,我们逃得掉吗?
如果细分的话,英格兰,10-14岁年龄段,2022年11月17日,重复感染占总确诊人数的60%左右。对于儿童来说,真的是无法想象。
我们在昨天的文章里也反复强调,靠抗体和疫苗防最新毒株的感染的念头大家绝对不能有。
我们知道,还是有很多老百姓被专家忽悠,说什么有抗体了就能几个月内活动自如了,简直害死人!下图是国外三针疫苗+一次BF.7的感染,理论上抗体光环叠满了,属于半无敌状态了,然而遇到XBB,被打得就像一个筛子一样,毫无抵抗力。
还要说的就是孕妇和小宝宝的事情。
著名的医学大V爆料:
我们都知道,孕妇能用的药极少,如果感染真的是急死人。
另外一位产科医生也是要崩溃了:
很多妈妈都非常难受:
各个社交平台都在讨论现在的情况下如何保住胎儿:
昨天写了一点点后遗症的事情,今天再提几句,有的网友觉得康复后这个大脑不听使唤了:
从对话来看的确有点语无伦次:
还有一位网友也是一样的情况:
今天暂时想到的就那么多,希望大家都健健康康的生活下去!








































































































